Проблема
Пациент обратился с жалобами на зубной налет, наличие зубного камня на передних зубах нижней челюсти.
Решение
Проведена профессиональная гигиена полости рта (AirFlow). Удален зубной камень и налет. Пациент доволен!
АКЦИЯ. Профессиональная гигиена полости рта (AirFlow)
Профессиональная гигиена в области одного квадранта (четверти рта)
Профессиональная гигиена полости рта (при регулярном посещении)
Профессиональная гигиена полости рта (AirFlow)
Профессиональная гигиена полости рта при гингивите
Профессиональная гигиена полости рта при пародонтите
АКЦИЯ на профессиональную гигиену полости рта в Челябинске!
Только в апреле Профессиональная гигиена полости рта всего за 5 950 рублей!
Выгода - 1500 руб.!!! Спешите, количество мест ограничено!
Профессиональная комплексная гигиена полости рта в клинике Колибри Дент — это возможность сохранить здоровье зубов сегодня, чтобы не лечить их завтра.
Профессиональная комплексная чистка у профессионалов клиники Колибри Дент позволяет безопасно, быстро и безболезненно привести в порядок даже очень запущенные зубы.
Везде, где есть зубной налет – там есть микробы. А где скапливаются микробы на поверхности зубов – там со временем развивается кариес. Поэтому регулярная профессиональная комплексная гигиена зубов – это наилучшая профилактика кариеса.
Комплексная гигиена полости рта в нашей клинике – это профессиональная чистка всех зубов в процессе которой снимаются все виды зубных отложений: зубной камень, мягкий зубной налет, «налет курильщиков».
Зубы становятся чистыми, гладкими и блестящими.

1. Снятие зубного камня ультразвуковым аппаратом
При помощи ультразвукового скайлера – эффективно удаляется наддесневой и поддесневой зубной камень, мягкий пигментированный налет. Аппарат создает колебания на ультразвуковых частотах, которые разрушают зубной камень и не наносят вреда зубам. Вместе с волной ультразвука подается струя воды, которая смывает остатки зубного камня. Это позволяет избавиться от твердых отложений даже в самых труднодоступных местах.
2. Снятие зубного налета аппаратом Air-flow
Удаление мягкого налета посредством проведения процедуры Air flow – процедура заключается в подаче на поверхность зубов смеси из порошка с высоким содержанием соды, а также воздуха и воды. В состав порошка входят отбеливающие вещества, средства, размягчающие налет, а также вкусовые добавки, которые придают смеси приятный привкус. Под действием струи остатки зубного камня и мягкий налет расслаиваются на мелкие части и смываются из всех труднодоступных мест ротовой полости.
3. Полировка зубов
Эта процедура делает зубы гладкими и ровными. На поверхности не остаются частички пищи и гораздо дольше не появляется налет. С помощью полировки можно на долгий срок защититься от проблемы зубного камня и отложений.
4. Фторирование зубов
Эта часть процедуры укрепляет зубную эмаль, обогащает её фтором и препятствует образованию зубного налета в дальнейшем.
Профессиональная комплексная чистка зубов у специалистов Колибри Дент позволит Вам снять налет полностью, оставляя только здоровую эмаль; кроме того, она включает процедуры, укрепляющие эмаль и препятствующие образованию зубного камня.
Только пройдя все этапы чистки можно быть уверенным, что процедура была успешной.
Преимущества профессиональной чистки
Красивая улыбка, чистые белые зубы, приятное дыхание – это в первую очередь показатель заботы о своем здоровье.
Профессиональная гигиена зубов сделанная в клинике Колибри Дент, поможет избавиться сразу от многих проблем, которые мешают человеку свободно общаться.
Чтобы зубы были здоровыми, а улыбка сияющей, необходим правильный уход за ротовой полостью.
Регулярное посещение стоматолога, своевременное лечение поврежденных зубов, а также периодическая профессиональная чистка полости рта, позволят добиться отличного здоровья зубов и белоснежной улыбки.
Белоснежная улыбка и здоровье зубов зависят от Вас — приходите на профессиональную гигиену зубов в клинику Колибри Дент и Ваша улыбка снова засияет!
Запись на прием
С пациентами в нашей стоматологической клинике работают профессионалы с высокой квалификацией и хорошими отзывами.
Практический опыт наших стоматологов превышает 25 лет! Врачи прошли обучение в России и за рубежом.
Каждый год наши доктора изучают новейшие технологии у лучших специалистов Европы и России.
Знание современных методов лечения и многолетний практический опыт позволяют нам находить оптимальные решения даже в самых сложных клинических случаях.
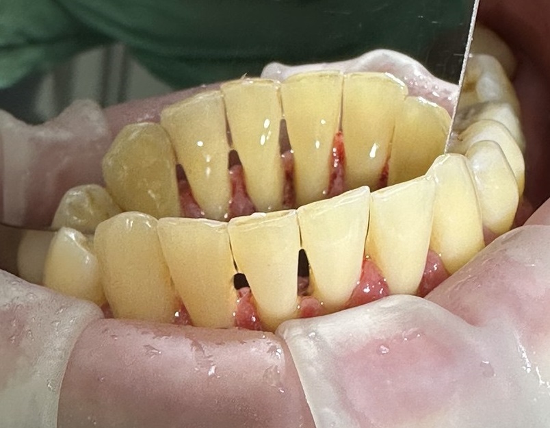
Проблема
Пациент обратился с жалобами на зубной налет, наличие зубного камня на передних зубах нижней челюсти.
Решение
Проведена профессиональная гигиена полости рта (AirFlow). Удален зубной камень и налет. Пациент доволен!
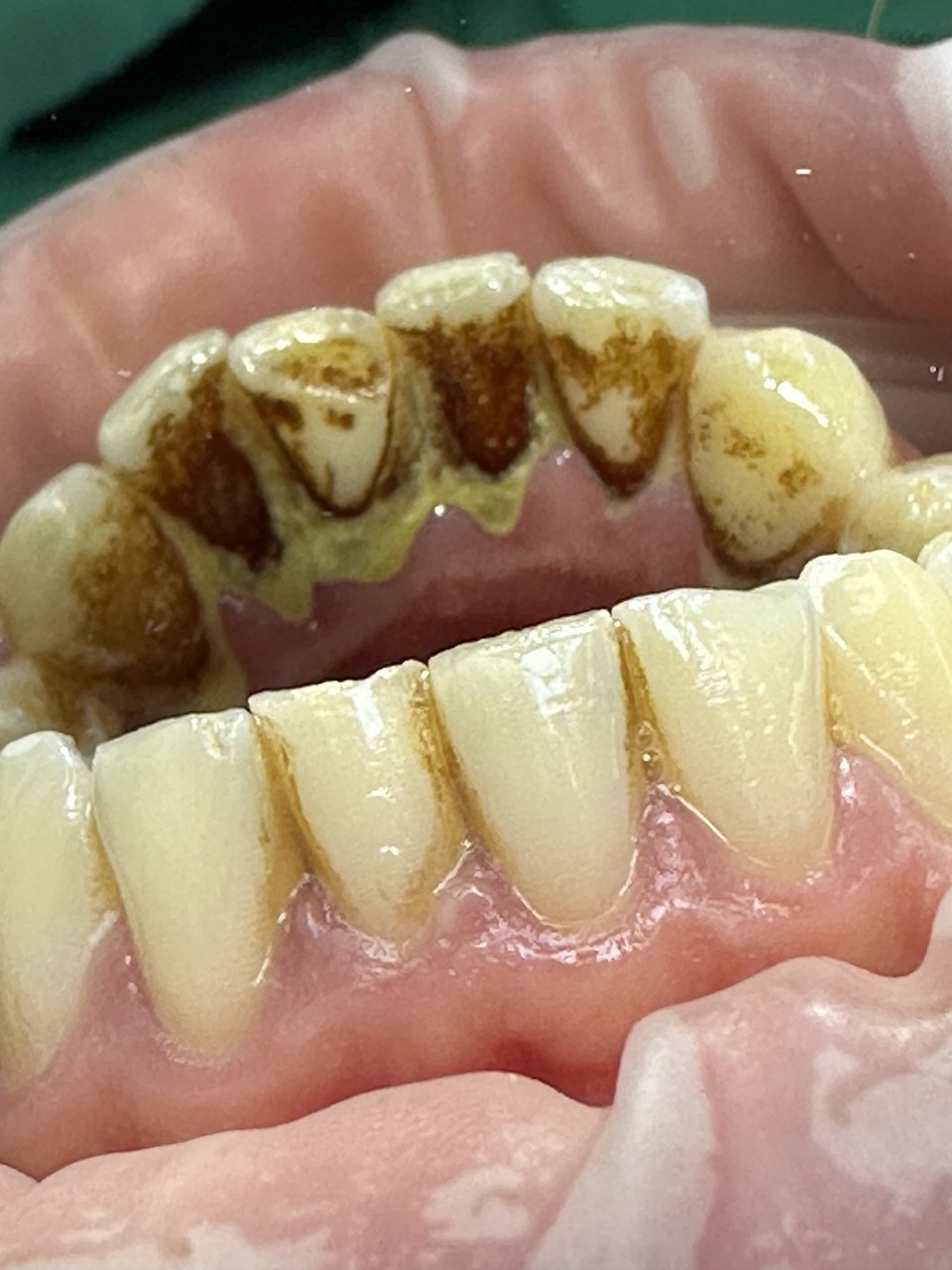
Проблема
Пациент обратился с проблемой зубного налета и образование зубного камня на верхних и нижних передних зубах, неприятный запах изо рта, покраснения и болезненные ощущения на деснах.
Решение
Проведена профессиональная гигиена полости рта (AirFlow). Удален зубной камень и налет. Проведено воздействие ультразвуком на область дёсен аппаратом Vector, обе челюсти.
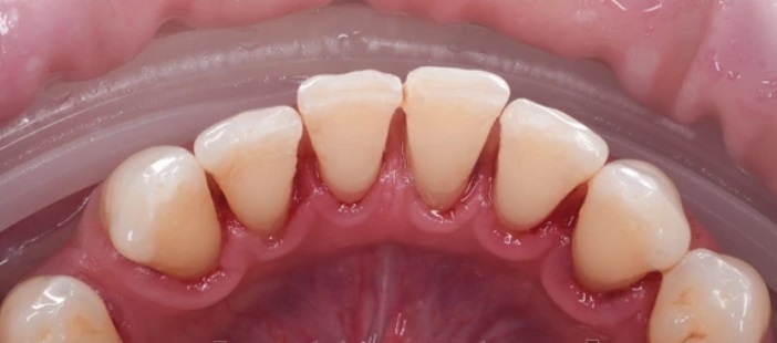
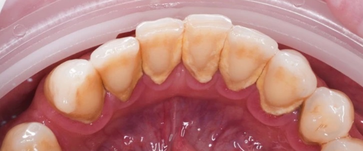
Проблема
У пациента выраженные зубные отложения и пигментированный налёт, особенно в области нижних и верхних передних зубов, с воспалённым краем десны.
Решение
Проведена профессиональная гигиена полости рта — налёт и камень удалены, зубы стали заметно чище и светлее, состояние десны улучшилось.
Наша клиника расположена в Тракторозаводском районе (ЧТЗ) г. Челябинска по адресу: улица Марченко, 13 А, в пятидесяти метрах от перекрестка улиц Марченко и Салютной, в пешей доступности от остановок общественного транспорта.
Для тех, кто приезжает к нам на собственном автомобиле, предусмотрена бесплатная охраняемая парковка возле входа в клинику, со стороны улицы Салютная.
Опыт работы: с 1995 года.
стоматолог-ортопед, терапевт, хирург, эндодонтист.
Ортопедия. Протезирование зубов любой сложности
Терапевтическая стоматология.
Удаление зубов любой сложности.
Лечение воспалительных заболеваний. Эндодонтия.
✅Проводит 3D-диагностику для точного планирования лечения.
✅Владеет методиками установки коронок, мостовидных протезов, имплантов, реставрации зубов.
✅Эксперт с 30-летним опытом, сочетающий инновационные методы, бережное отношение и доказанные результаты.
✅Подходит пациентам, ценящим сохранение зубов, эстетику и комфорт.
Опыт работы: с 1999 года
ОМК (стоматология терапевтическая), 1999г.
Клиентоориентирование для сотрудников стоматологических клиник. Челябинск, 2010 г.
Перелечивание эндодонтически пролеченных зубов. Екатеринбург, 2014 г.
Эстетическая и реставрационная стоматология по системе ENAMEL PLUS. Москва, 2014 г.
Современные протоколы эндодонтического лечения от диагностики до обтурации. Москва, 2021г.
Лечение пульпитов и периодонтитов. Пошаговые протоколы. Stom-Academy, 2022г.
Владеет всеми современными методами лечения. Более чем 20-ти летний опыт работы, сотни довольных пациентов!
Лечение кариеса, пульпита, периодонтита.
Лечение десен, услуги пародонтолога.
Художественная реставрация зубов.
Отбеливание и профессиональная гигиена.
✅ Безболезненное лечение — использование современных анестетиков.
✅ Эстетика — естественная реставрация под цвет зубов.
✅ Комфорт — индивидуальный подход к каждому пациенту.
Южно-Уральский государственный медицинский университет, специальность «Стоматология хирургическая».
Участие в российских и международных курсах по имплантологии, ортопедии и хирургии.
Провела более трехсот успешных операций по установке имплантов, включая сложные случаи.
Дентальная имплантация (включая одномоментную).
Костная пластика и синус-лифтинг.
Удаление зубов любой сложности.
Лечение воспалительных заболеваний.
✅ Точная диагностика — использование КТ и цифрового планирования.
✅ Безболезненно — современная анестезия и бережный подход.
✅ Гарантия качества — работа с проверенными системами имплантов (Super Line, Straumann и др.).
✅ Комфортное восстановление — индивидуальные рекомендации после операции.
Опыт работы: с 2017 года
Челябинский медицинский колледж, 2017г.