Лечение пульпита В ЧЕЛЯБИНСКЕ
Восстановите улыбку надежно и безболезненно!
Бережное восстановление поврежденных тканей зуба
Используем современные материалы
Гарантированный результат
Цены на лечение пульпита
Консультация врача-стоматолога
Первичный визит для оценки состояния полости рта, осмотра зубов и дёсен
31.08.2026
650 ₽
Лечение пульпита 1-канального зуба
Процедура удаления нервных тканей внутри одноканального зуба
Лечение пульпита 2-канального зуба
Процедура удаления нервных тканей внутри двухканального зуба
Лечение пульпита 3–4-канального зуба
Процедура удаления нервных тканей внутри трёх- и четырёхканального зуба
Временное пломбирование корневого канала (пульпосептин) гидроокиси кальция
Обладает антисептическими, противовоспалительными и регенеративными свойствами
Пломбирование дополнительного корневого канала
Герметизация и заполнение пломбировочным материалом дополнительных (боковых или разветвлённых) каналов в зубе.
Восстановление зуба пломбой
1,5,6 класс по Блэку с использованием материалов из фотополимеров
Восстановление зуба пломбой
2,3 класс по Блэку с использованием материалов из фотополимеров
Восстановление зуба пломбой
4 класс по Блэку с использованием материалов из фотополимеров
Пришлифовывание твердых тканей зуба, полирование зуба
Минимальное снятие слоя эмали для коррекции формы, размера и положения зубов
Глубокое фторирование эмали зуба
Профилактика кариеса и укрепление эмали
Удаление внутриканального штифта/вкладки (инородного тела)
Извлечение из корневого канала ранее установленных конструкций
Распломбировка корневого канала
Ранее леченного
Удаление внутриканального штифта/вкладки
Инородное тело
Восстановление цвета и формы зуба на штифте
С учетом светоотверждаемой пломбы
Реставрация зуба
Восстановление формы и цвета повреждённого или разрушенного зуба с помощью специальных материалов
Лечение пульпита в Челябинске - без боли и рисков!
В клинике «Колибри дент» мы лечим пульпит с помощью современных методов и оборудования. Опытные стоматологи работают на современном оборудовании, чтобы сохранить как можно больше здоровых тканей. Очищаем и герметично пломбируем каналы, исключая повторное инфицирование!
Что такое пульпит
Пульпит — это воспаление мягкой ткани внутри зуба, которая называется пульпой. Она расположена под эмалью и дентином и состоит из нервных волокон и сосудов. Пульпа отвечает за чувствительность зубов.
Лечить пульпит самостоятельно невозможно — можно лишь временно уменьшить боль. Чтобы избежать серьёзных осложнений, важно как можно скорее записаться к стоматологу. Специалист проведёт необходимое лечение.
Причины
Пульпит возникает, когда пульпа зуба — мягкая ткань внутри зуба, содержащая нервы и сосуды, — воспаляется.
Это может случиться по разным причинам:
Невылеченный кариес
Если кариес не лечить, он может проникнуть глубже в зуб и достать до пульпы, вызывая воспаление.
Травма зуба
Ушибы или переломы могут повредить пульпу и привести к её воспалению.
Некачественное пломбирование
Пломба, которая не совсем подходит по размеру или была установлена плохо, может привести к воспалению пульпы.
Вторичный кариес
Если не до конца очистить зуб от поражённых тканей, инфекция продолжит распространяться под пломбой.
Почему болит зуб и насколько срочно нужно лечение? Пройдите короткий тест:
Методы лечения
Консервативное лечение
- Полость зуба очищается от кариеса, внутрь закладывается лекарство, после чего устанавливается временная пломба.
- Если очаг воспаления удалось устранить с помощью лекарства, устанавливается постоянная пломба.
Депульпирование зуба
- После этого проводится чистка каналов зубов и герметичное пломбирование. Врач восстанавливает коронковую часть зуба с помощью пломбы или коронки, в зависимости от состояния зуба.
Как проходит лечение
Врач осматривает зуб и проводит необходимые диагностические процедуры, такие как рентген, чтобы оценить состояние пульпы и корней зуба. Лечение проходит под местной анестезией. Анестетик подбирается индивидуально на основе анамнеза пациента.
Вопросы, которые часто беспокоят наших пациентов
Избежать пульпита помогут простые меры профилактики:
Регулярная тщательная гигиена полости рта — чистка зубов утром и вечером, полоскание рта после еды, использование ополаскивателя, ирригатора.
Профессиональная гигиена— чистка в клинике каждые полгода.
Своевременная стоматологическая помощь — лечение кариеса, воспалительных заболеваний, реставрация зубов при травмах или сколах.
Регулярные профилактические осмотры — посещение стоматолога каждые полгода для своевременного обнаружения патологий.
Коррекция рациона — добавление продуктов, богатых кальцием, фтором и витамином С, уменьшение количества сладкого и кислого.
Важно! Перед началом лечения мы составляем подробный план, учитывая все особенности состояния зуба. В плане чётко прописано количество каналов и способы их восстановления.
Противопоказания
- острые воспаления, нелеченные дёсны
- обострение хронических заболеваний
- беременность (обычно переносим плановые вмешательства)
- грудное вскармливание — в этот период применение некоторых препаратов и методов лечения может быть ограничено
- сахарный диабет (важна компенсация)
- тяжёлые соматические заболевания в стадии обострения
Это команда профессионалов —
ваш ключ к здоровой и красивой улыбке
Примеры работ
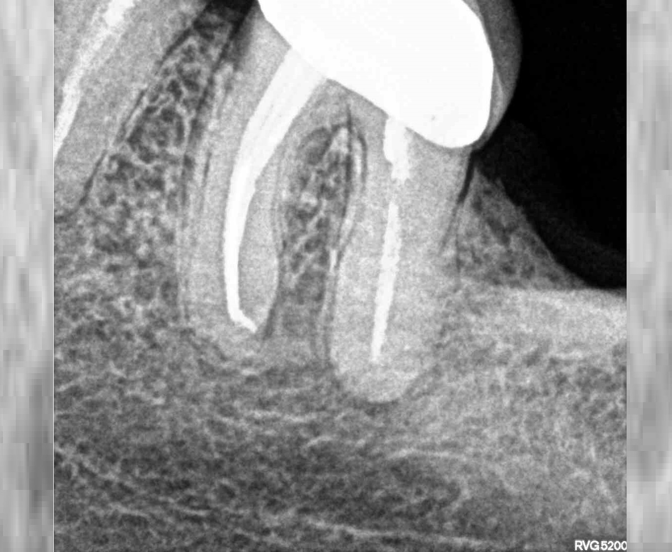
- Лечение пульпита
Проблема
Пациент обратился в клинику с жалобами на боли ноющего характера, усиливающиеся при надкусывании на зуб, реакция на холодное и горячее, так же на наличие глубокой кариозной полости, застревание пищи в зубе.Решение
Произведено пломбирование корневых каналов. Наблюдается уменьшение воспалительного процесса. Пациент может жевать, нет реакции на горячее и холодное. Лечение прошло успешно.Оставьте заявку - перезвоним в течении 15 минут!
