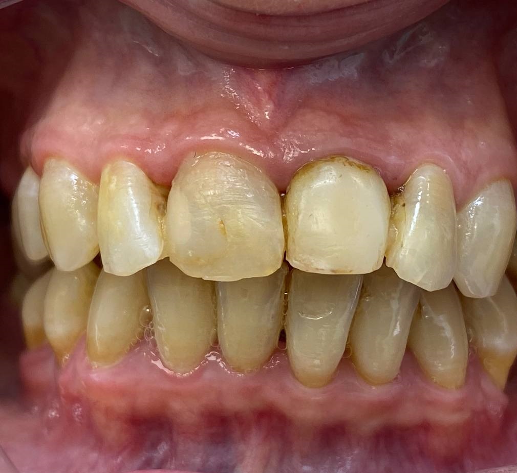
Проблема
Пациент пришел на консультацию, страхи и мифы о стоматологах и лечении развеял доктор!
Решение
Врач все рассказал пациенту, составили план лечения, сделали снимки. Все не так уж и страшно, как казалось до прихода в нашу клинику!
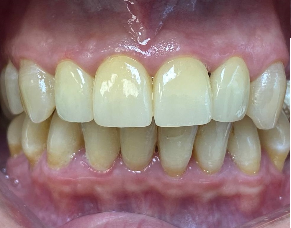
Проблема
Пациент пришел на консультацию, страхи и мифы о стоматологах и лечении развеял доктор!
Решение
Врач все рассказал пациенту, составили план лечения, сделали снимки. Все не так уж и страшно, как казалось до прихода в нашу клинику!
Опыт работы: с 1999 года
ОМК (стоматология терапевтическая), 1999г.
Клиентоориентирование для сотрудников стоматологических клиник. Челябинск, 2010 г.
Перелечивание эндодонтически пролеченных зубов. Екатеринбург, 2014 г.
Эстетическая и реставрационная стоматология по системе ENAMEL PLUS. Москва, 2014 г.
Современные протоколы эндодонтического лечения от диагностики до обтурации. Москва, 2021г.
Лечение пульпитов и периодонтитов. Пошаговые протоколы. Stom-Academy, 2022г.
Владеет всеми современными методами лечения. Более чем 20-ти летний опыт работы, сотни довольных пациентов!
Лечение кариеса, пульпита, периодонтита.
Лечение десен, услуги пародонтолога.
Художественная реставрация зубов.
Отбеливание и профессиональная гигиена.
✅ Безболезненное лечение — использование современных анестетиков.
✅ Эстетика — естественная реставрация под цвет зубов.
✅ Комфорт — индивидуальный подход к каждому пациенту.
Опыт работы: с 1995 года.
стоматолог-ортопед, терапевт, хирург, эндодонтист.
Ортопедия. Протезирование зубов любой сложности
Терапевтическая стоматология.
Удаление зубов любой сложности.
Лечение воспалительных заболеваний. Эндодонтия.
✅Проводит 3D-диагностику для точного планирования лечения.
✅Владеет методиками установки коронок, мостовидных протезов, имплантов, реставрации зубов.
✅Эксперт с 30-летним опытом, сочетающий инновационные методы, бережное отношение и доказанные результаты.
✅Подходит пациентам, ценящим сохранение зубов, эстетику и комфорт.
Южно-Уральский государственный медицинский университет, специальность «Стоматология хирургическая».
Участие в российских и международных курсах по имплантологии, ортопедии и хирургии.
Провела более трехсот успешных операций по установке имплантов, включая сложные случаи.
Дентальная имплантация (включая одномоментную).
Костная пластика и синус-лифтинг.
Удаление зубов любой сложности.
Лечение воспалительных заболеваний.
✅ Точная диагностика — использование КТ и цифрового планирования.
✅ Безболезненно — современная анестезия и бережный подход.
✅ Гарантия качества — работа с проверенными системами имплантов (Super Line, Straumann и др.).
✅ Комфортное восстановление — индивидуальные рекомендации после операции.
Опыт работы: с 2017 года
Челябинский медицинский колледж, 2017г.
Опыт работы: с 2012 года
ГБПОУ "Челябинский медицинский колледж"